
- 入れ歯の治療例
50代男性。インプラントは嫌。でもしっかりと奥歯で噛めるようになりたい…
主訴
しっかりと噛めるようになりたい。
インプラントはしたくない。
将来的に安心した治療をしたい。来院
奥歯でものが噛めない。インプラントはしたくないとのことでした。
治療
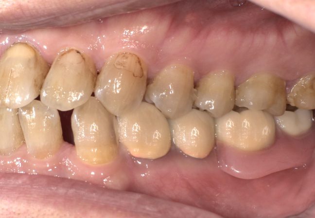
治療内容
下顎:片側リーゲルテレスコープ治療(ご自身の歯2本使用)
治療期間・回数
6ヶ月・6回
費用
下顎:片側リーゲルテレスコープ ¥1,320,000(税込)
*仮義歯や本義歯製作にかかる治療費は全てこの治療費に含まれます。
*治療費は、契約当時の費用です。治療内容と状態により異なります。リスク
口腔内の環境が変化する為、慣れるのに時間かかかる可能性があります。
筆者プロフィール

稲葉歯科医院 神田分院
院長 林 聡一■所属
- IPSG包括歯科医療研究会 認定講師
- IPSG包括歯科医療研究会 咬合認定医コース修了
■患者さまへのメッセージ
学生の頃から稲葉歯科医院の顧問である稲葉繁先生をはじめ、稲葉歯科医院の先生方に歯科診療はもちろんのこと、歯科医師としての哲学を学ばせていただきました。
患者さま一人ひとりとしっかりと会話をし、お悩みとご希望をうかがった上で、生活スタイルなどに合わせた最善の治療をご提案させていただけるよう、誠心誠意努力していきます。
また治療を終えた後もしっかりと患者様に寄り添いながら、ただお口の中を治すだけではなく、お悩みを克服し、素敵な笑顔で日々生活していただけるように、誠心誠意日々の診療を行っております。








